
2月中旬雪が降りました
お口の状態に合せた歯科用品を使いましょう!

例えば…
歯間ブラシは、隙間に合わせてサイズを変える。
フロスは、柄の付いたものと付いていないもの、
それぞれの使用方法などお伝えしています。

乳幼児・小児の歯科健診について

糖尿病の方の定期的なお口のクリーニングをお勧め致します
歯周疾患検診
歯の状態を視診で確認し、
はぐきの状態を専用の器具を用いて診査していきます。
歯肉の炎症の有無についても確認していきます。
口腔機能健診
話すことや食べるために必要な口腔機能を、現状のまま維持したり
低下を遅らせることが出来たら、
いつまでも自分自身で健康な生活が送れます。
「オーラルフレイル」を耳にしたことはありますか。
それらの機能を低下させないために
定期的にチェックをすることが大切です!

<健口くん>
口腔機能(舌機能)の測定が出来る測定器です。
(発音回数など自動的に測定します)
嚥下機能の確認もします。(だ液を飲み込みます)
簡単な測定ですのでお気軽に受けてみて下さい。
オーラルフレイルが疑われる場合は、
お口の体操や訓練をおすすめします。
妊婦・パートナー健診について
岡山市はパートナーの方の健診も受けることができます。
妊婦健診について
☆口腔内の状態を調べます。
歯肉の状態を確認し歯肉に炎症を起こしている部分がないかどうか確認します。
歯肉に炎症がある場合は、歯周病の可能性もあり、
低体重児出産のリスクもあります。
ムシバがあった場合には、状態によっては
出産後の治療で差支えないこともあります。
体調も良く治療をご希望される場合は、かかりつけの産婦人科医に
確認をとり、
出産前に可能な治療をさせて頂きます。
体調が優れず、ご出産までにムシバを完治できなかった場合に、
もし「生まれてくるお子様にムシバ菌が移るのではないか?」という
ご心配をお持ちでしたら…
気をつけるポイントを説明させて頂きます。
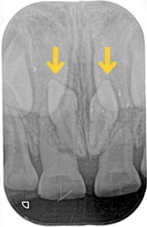
過剰歯がありました
健診に来てくれた子の前歯のレントゲンを撮影したところ
「過剰歯」がみつかりました。

向きが逆向きで2本あり生えてきそうにありません。
今後乳歯や永久歯への影響を注意深く確認していきます。
令和7年度歯科医療安全研修会に参加しました
講師の先生は川崎医科大学教授の和田秀穂先生で
演題は
『HIV診療のパラダイムシフト U=UおよびPrEPの現状から
HIV陽性者歯科診療ネットワークの運用まで』 です。
和田先生の研修から、HIVに関する最新かつ正確な知識を
再度確認することができました。