治療案内
お口に合ったかぶせ・つめもの
| 小臼歯と大臼歯の位置 |
「Br(ブリッジ)」について |
 |
Brとは、連結のかぶせ。
固定式で装着しても違和感が
あまりないです。
 |
※金属アレルギーについて
独自の判断でなく、検査の上、医師の診断がつくことが必須です。
体質が変わり症状が出てくることもあります。
皮膚のかゆみやただれなど、症状は人それぞれです。
お口の中の銀歯が原因なのか断定はできませんが、
除去して症状が改善することもあるかもしれません。
前歯の症例写真
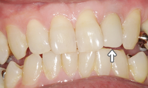
かぶせ(左上2・1番と右上1番)
ジルコニア プレミアム
金属が入ってなく強い。金属アレルギーのある方にも安心。歯の表面に陶器を使用しているので見た目が良い。前歯に適している。
 |
| ▲正面から |
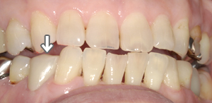
かぶせ(右上1番から左上2番)
セラミック
金属が入ったかぶせです。歯の表面に陶器を使用しています。見た目がよく前歯に適しています。
 |
| ▲正面から |
小臼歯の症例写真
つめもの(右下5番)
ジルコニア スタンダード
金属が入ってなく強い。金属アレルギーのある方にも安心。しっかり噛むことが出来る奥歯に適している。
 |
| ▲頬側から |
かぶせ(右下4番)
ジルコニア スタンダード
金属が入ってなく強い。金属アレルギーのある方にも安心。しっかり噛むことが出来る奥歯に適している。
 |
| ▲正面から |
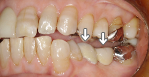
かぶせ(左下5・6番)
ハイブリッド セラミック
金属が入ったかぶせものです。
 |
| ▲頬側から |
大臼歯の症例写真
つめもの(左下6番)
ゴールド
金属で強度があります(銀歯の方が強い)。銀歯に比べて馴染みが良いです。
同じ金属なら銀の詰め物ではどうか?のお尋ねがありました。
口腔内にゴールドの詰め物が2箇所入っていたので、同じ種類の素材で揃えることで、咬み合わせた時の摩擦など抵抗がないものをお勧めしました。
 |
| ▲口を開けたところ |
つめもの(右下6番)
ジルコニアスタンダード
金属が入ってなく強い。金属アレルギーのある方にも安心。しっかり噛む奥歯に適しています。
 |
| ▲頬側から |
かぶせ(右下7番)
ゴールド
金属で強度があります(銀歯の方が強い)。銀歯に比べて馴染みが良いです。
 |
| ▲口を開けたところ |
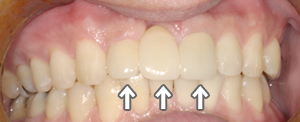
かぶせ(右上6番)
ジルコニアスタンダード
金属が入ってなく強い。金属アレルギーのある方にも安心。しっかり噛む奥歯に適しています。
 |
 |
| ▲正面から |
▲咬み合せ |
Brの症例写真
右上4.5.6番
ハイブリッド セラミック
金属が入ったかぶせものです。
 |
| ▲正面から |
 |
| ▲頬側から |
左上3.4.5.6番
3番 ジルコニア プレミアム
4.5.6番 ジルコニア スタンダード
金属が入ってなく強いかぶせです。金属アレルギーのある方にも安心。前歯にはプレミアム、奥歯にはスタンダードが適しています。
 |
| ▲頬側から |
右下4.5.6.7番
ジルコニア スタンダード
金属が入ってなく強いかぶせです。金属アレルギーのある方にも安心。
 |
| ▲頬側から |
下顎3.2.1~1.2.3
ジルコニア プレミアム
金属が入ってなく強い。金属アレルギーのある方にも安心。歯の表面に陶器を使用しているので見た目が良い。前歯に適している。
 |
| ▲正面から |