なつかわ歯科
治療案内
目立たない入れ歯
薄くて軽いので付け心地も良く、
見た目もすっきりとキレイなのが特長です。
金額は入れ歯の大きさによりいろいろですので
ご確認下さい。(保険適応外です)
目立たない入れ歯の症例写真
上顎
▲正面から
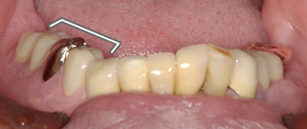
上顎(金属バーが入った症例)
▲正面から
▲口を開けたところ(※鏡に映しています)
上顎の違和感をできるだけ少なくしたいご意向があり、金属のバーを取り付けました。
装着してすぐは、物を挟んだ様なしゃべり方になると言われていましたが、少しずつ慣れて頂くようにしていきたいと思います。
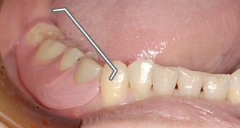
下顎
▲頬側から
上下の症例
▲上顎の内側
▲
下顎
メニュー
TOP
おしらせ・イベント
医院案内
治療案内
アクセス
院長・スタッフ紹介
スタッフ募集
お問い合わせ